Trong suốt ba năm, ông Thức phải đối mặt với tình trạng yếu dần ở tứ chi, dù đã thử nhiều phương pháp điều trị như thuốc nam và các loại thực phẩm chức năng nhưng không cải thiện. Gần đây, tình trạng của ông trở nên nghiêm trọng hơn với các triệu chứng nóng rát, tê bì vùng cổ, tay yếu rõ rệt, tê lan xuống hai chân đến tận ngón chân, đau cứng lưng, và mất kiểm soát đại tiểu tiện.

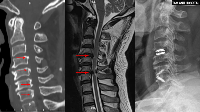
Tại Bệnh viện Đa khoa Tâm Anh Hà Nội, kết quả chụp cắt lớp vi tính (CT) cho thấy ông bị vôi hóa nhiều đoạn dây chằng dọc sau. ThS.BS Tạ Ngọc Hà, từ khoa Chấn thương Chỉnh hình, giải thích rằng lớp dây chằng này, vốn có vai trò quan trọng trong việc giữ vững cột sống, đã bị canxi hóa và dày lên, gây hẹp ống sống từ đốt sống cổ C3 đến C7. Kết quả chụp cộng hưởng từ (MRI) cũng cho thấy đĩa đệm C4-5 bị thoát vị và C6-7 thoát vị nặng, chèn ép tủy cổ nghiêm trọng.
Bác sĩ Hà nhấn mạnh rằng tổn thương tủy cổ là một trong những tổn thương cột sống nguy hiểm nhất, có thể dẫn đến liệt cao và khả năng hồi phục rất thấp. Ông Thức đối diện với nguy cơ liệt vĩnh viễn nếu không được điều trị kịp thời.
Phương án phẫu thuật được lựa chọn là tối ưu và an toàn nhất cho bệnh nhân, theo đó bác sĩ sẽ mổ lối trước, bộc lộ mặt trước thân đốt sống, thay đĩa đệm nhân tạo C4-5 và cố định đốt sống C6-7. Bác sĩ Hà cho biết phương pháp này giúp bệnh nhân bảo tồn vận động cổ sau phẫu thuật.
Trong suốt ca phẫu thuật kéo dài 4 tiếng, bác sĩ Hà cùng êkíp đã sử dụng kính vi phẫu để bóc tách và giải phóng vùng tủy bị chèn ép. Khối thoát vị C4-5 được loại bỏ và thay thế bằng đĩa đệm nhân tạo. Đối với tổn thương đốt sống C6-7 nghiêm trọng hơn, bác sĩ Hà đã loại bỏ đĩa đệm và phần thoát vị chèn ép, giải phóng thần kinh, sau đó ghép xương nhân tạo và cố định lại bằng miếng ghép đĩa đệm có nẹp vít để tạo độ vững chắc cho toàn bộ cột sống cổ.

Chỉ 30 phút sau phẫu thuật, ông Thức đã có thể vận động chân tay trên giường bệnh. Ngày hôm sau, các triệu chứng nóng rát vùng cổ thấp và bắp chân giảm đáng kể, vết mổ ở cổ không gây đau đớn, ông đã có thể ngồi dậy và đi lại. Chuyên viên phục hồi chức năng đã hướng dẫn ông các bài tập kiểm soát bàng quang và cơ vùng chậu để giúp tự chủ đại tiểu tiện.
Bác sĩ Hà cho biết, tổn thương tủy cổ thường xảy ra sau chấn thương cột sống cổ hoặc do quá trình lão hóa, dẫn đến thoái hóa, vôi hóa dây chằng dọc sau và thoát vị đĩa đệm. Trong trường hợp chấn thương, bệnh nhân thường được cấp cứu và điều trị ngay lập tức. Tuy nhiên, tổn thương tủy cổ do thoái hóa thường tiến triển âm thầm, với các triệu chứng ban đầu như tê tay, yếu nhẹ và đau thoáng qua ở vùng cổ vai. Nhiều bệnh nhân thường chủ quan, tự điều trị bằng thuốc đông y không rõ nguồn gốc hoặc trì hoãn phẫu thuật vì lo sợ, khiến bệnh trở nặng, gây yếu liệt rõ rệt và mất kiểm soát đại tiểu tiện. Đến khi đi khám thì đã muộn, bỏ lỡ thời gian “vàng” để điều trị, đối diện với nguy cơ liệt vĩnh viễn.
Bác sĩ Hà khuyến cáo rằng khi có các triệu chứng như đau cổ, cứng cổ khi cúi, ngửa hoặc xoay, cảm giác tê bì, châm chích ở các chi, nóng rát lan từ cổ xuống lưng và các chi, yếu cơ, khó cầm nắm, đi lại loạng choạng, người bệnh cần đi khám ngay lập tức.
Để phòng ngừa bệnh, cần duy trì tư thế làm việc đúng, ngồi thẳng lưng, thả lỏng vai, tránh cúi đầu quá lâu khi sử dụng điện thoại. Thường xuyên tập thể dục, tránh các động tác bẻ cổ hoặc xoa bóp quá mạnh có thể gây chấn thương. Kiểm soát tốt các bệnh mãn tính như đái tháo đường, béo phì và rối loạn chuyển hóa cũng giúp giảm nguy cơ vôi hóa dây chằng và thoái hóa cột sống, từ đó hạn chế tổn thương tủy cổ.
Admin
Nguồn: VnExpress
