Cắt bán phần dây thanh: Bảo tồn giọng nói cho bệnh nhân ung thư
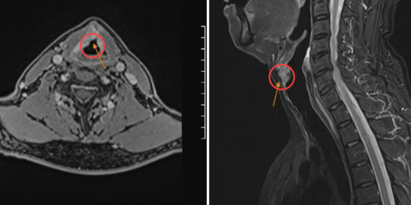
Ông Sang, một giáo viên, đã phải đối mặt với nguy cơ mất giọng vĩnh viễn sau khi được chẩn đoán ung thư thanh quản giai đoạn cuối. Suốt 9 tháng, ông Sang bị khàn giọng và mất giọng, ban đầu nghĩ rằng do đặc thù công việc phải nói nhiều nên chủ quan tự…
