15 năm nâng ngực: Biến chứng tụ máu quanh túi độn
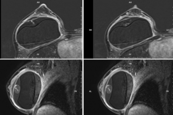
Những cơn đau ngực bất thường sau nhiều năm nâng ngực có thể là dấu hiệu của biến chứng muộn, một tình trạng hiếm gặp nhưng cần được phát hiện và điều trị kịp thời. Hai trường hợp gần đây tại Bệnh viện Đa khoa Tâm Anh TP HCM đã minh chứng cho điều này….
